Can Xylitol Be Used to Fight Cavities?
Everyone knows that sugar contributes to cavities. When you eat a sweet treat, bacteria feast on the sugar in your mouth, creating acid that erodes the enamel. But what if there was a sweetener that actually helps prevent cavities instead of causing them? That’s where xylitol comes in. As a natural sugar alcohol found in […]
Read More →Explore the Vital Role of Saliva in Oral Health
Saliva is an essential, yet often overlooked, component of oral health. From digestion to keeping your mouth clean to protecting your teeth from decay, it does more than you may have realized. Without it, you’re at risk of bad breath, cavities, and difficulty swallowing. At the office of Eric Felt DDS, we want our patients […]
Read More →Why You Should Avoid Veneer Technicians
Veneers are a popular cosmetic dentistry solution that involves bonding thin shells to the front surfaces of the teeth, giving them a brighter, whiter, and more uniform appearance. In an attempt to save money, many people seek veneers from people advertising themselves as veneer technicians instead of licensed dentists; however, this can have serious consequences. […]
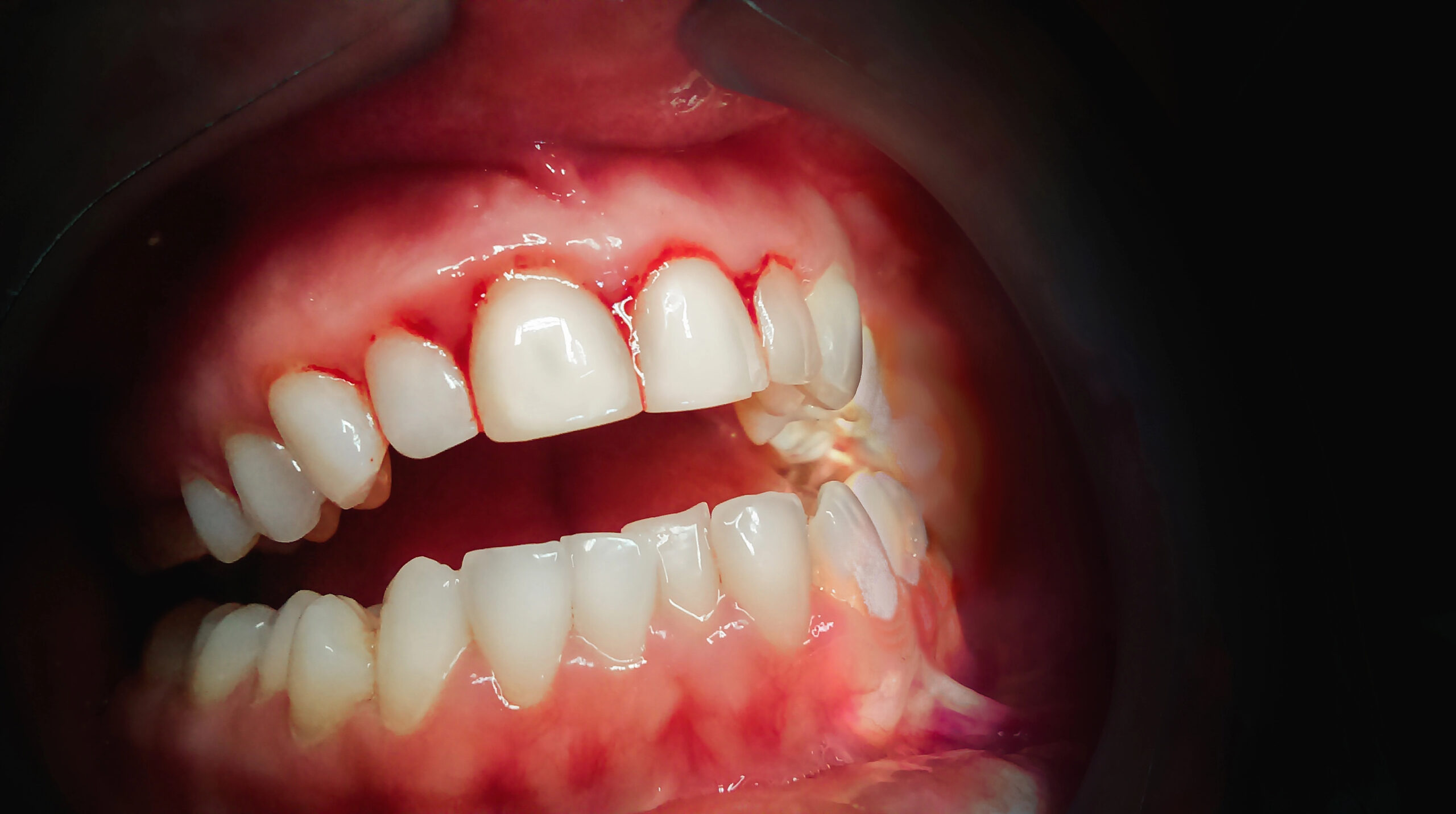
Read More →Bleeding Gums: Should I Be Concerned?
Picture this: You brush your teeth, swish some water around your mouth, and spit it out in the sink. To your surprise, you see streaks of blood in the sink. Maybe you even taste something metallic in your mouth. While occasional bleeding gums can be concerning, they’re not always serious. However, persistent bleeding could indicate […]
Read More →Ouch! Will Professional Teeth Whitening Hurt?
Everyone wants to have whiter teeth. But for those who have more sensitive teeth, trying to do DIY teeth whitening might have left you discouraged and sore. But you are not doomed to have both sensitive and discolored teeth. You may get better results from professional teeth whitening. We will go through the reasons why tooth discoloration happens, where tooth sensitivity comes from, and the differences between at-home and professional teeth whitening.
Read More →How Effective Are Home Fluoride Treatments for Cavity Prevention?
Fluoride plays an important role in dental health, including enamel strengthening and cavity prevention. Home fluoride treatments, such as toothpaste and mouthwash, are popular ways to get this essential mineral. Some municipalities even put fluoride in the water to boost public health. However, are these methods truly enough to prevent cavities, or are professional treatments […]
Read More →
- « Previous Page
- 1
- 2
- 3
- 4
- …
- 12
- Next Page »